FOKAL
PERİFERİK NÖROPATİLER
Yazanlar:
Jale Yazıcı, Elif Kocasoy Orhan
Son
güncelleştirme tarihi: 11.02.2020
Mononöropatiler
Tuzak nöropatileri ve diğer fokal nöropatilerden
oluşan ve izole sinir tutulmalarını içeren bu bölümde, belli başlı, izole
sinirlerin hastalıkları anlatılacak ve iki alt başlık altında incelenecektir:
1.Üst ekstremitede tuzak nöropatileri
ve diğer fokal nöropatiler
2.Alt ekstremitede tuzak nöropatileri
ve diğer fokal nöropatiler
Her ne kadar Periferik
sinirlerin anatomi, fizyoloji ve patolojik süreçleri bölümünde "sinir hasarlanmalarına"
ilişkin bilgi verilmişse de, klinik önemi nedeniyle burada kısaca
değinilecektir. Tuzak nöropatileri ile
periferik sinirlerin akut basısı sonucu gelişen nöropatilerin
(kompresyon nöropatileri) oluşum mekanizması
farklıdır. Periferik sinirler; laserasyon, dıştan
bası altında kalma, gerilme-çekilmeler ya da bunların farklı kombinasyonları
nedeniyle hasarlanırlar. Bıçak, cam gibi kesici aletlerle olan yaralanmalarda
sinir, anatomik olarak kısmen ya da bütünüyle kesilmiştir. Böylesi bir keside değişimler sinirin distal ve proksimal
segmentlerinde görülür. Distal segmentte
günler içinde gelişen Waller dejenerasyonu söz
konusudur. Miyelin ve akson düzensiz hale gelir. Son
olarak bazal lamina etkilenir. Rejenerasyon,
yavaş ve sıklıkla hatalıdır.
Diğer yandan, örneğin
cumartesi gecesi felci olarak bilinen radial sinir fokal nöropatilerinde
periferik sinirin dıştan basısı söz konusudur. Sıklıkla sinir, komşu kemikle
sert zemin arasında ezilir. Bu akut, saatler süren bir bası olabileceği gibi
dirsek dayama alışkanlığı olan kişilerde gelişen ulnar nöropatilerdeki
gibi uzun süreli, aralıklı basının birikici etkisi sonucu da olabilir. Miyelinli lifler, basının süre ve tipine göre değişen üç
biçimde yanıt verir: Hızla düzelen fizyolojik blok, fokal demiyelinizasyon ve Waller dejenerasyonu.
Tuzak
nöropatileri yavaş gelişen kronik hastalıklardır. Uzun süre bası altında kalan
büyük çaplı liflerde sinirin tüm elementlerini etkileyen yapısal değişimler
olur. İlk görülen miyelin kılıfında gelişen
asimetridir. Bu, Ranvier nodlarında
miyelinin retrakte
olmasının sonucudur. Böylelikle paranodal segmenter demiyelinizasyon ortaya çıkar. Basının devam
etmesi durumunda ikinci adım olan akson tutulumu, Waller
dejenerasyonu eklenir. Mekanik etki, bası altında kalan liflere farklı yansır.
Bu periferik sinirlerin karmaşık fasiküler yapıları
nedeniyledir. Bunu rejenerasyon ve remiyelinizasyon izler. Tuzak nöropatileri
gibi kronik olaylarda, akson transportu ile peri- ve endonöral
bağ dokularındaki değişimler patolojik süreci negatif yönde etkiler.
İzole periferik sinir
basılarında oluşum mekanizması farklıdır. Burada mekanik, dıştan bir bası söz
konusudur. Örneğin cumartesi gecesi felci olarak tanımlanan tabloda radial
sinirin akut mekanik bir bası altında kalması sonucu düşük el gelişir. Dikkatli
yapılan muayenede önkol ekstansör kaslarının eşit düzeyde etkilenmediği
saptanır. Bunun nedeni periferik sinirlerin karmaşık yapısından dolayı her
fasikülü etkileyen bası düzeyinin farklı olmasıdır. Fizyolojik olarak, EMG ile
ortaya konan bir ileti bloğu oluşur. Eğer hastada, kronik alkol alımı, sitostatik tedavi gibi predispozan
faktörler varsa az süreli bası bile klinik tablonun oluşmasına yol açar.
Mekanik basının uzun sürdüğü durumlarda fokal demiyelinizasyonu
akson dejenerasyonu izler. Böylesi bir durumda iyileşme geç ve sekellidir.
Diğer yandan radial nöropatisi olan bir hastanın C7 radikülopatisi varsa, aynı sinir gövdesi hem proksimalden hem de distalden
tutulmuş olacaktır, bu tabloya "double crush” (çift etki/çift baskı) adı verilir.
Üst EkstremiteTuzak Nöropatileri
Median
Sinir
Anatomi
Bu sinir C6.ve 7. Kökleri
ile brakiyal pleksusun üst trunkus-lateral kord segmentlerinden gelen lifler ve C8-T1 kökleri ve pleksusun alt trunkus-medial kordundan gelen liflerin birleşmesinden oluşur. Median
sinir kol segmentinde dal vermez. Dirsekte, antekubital fossaya geldiğinde
önkol fleksör kaslarını innerve eder. Bilekte, karpal
kemikler ve transkarpal ligament
arasındaki karpal tünelden geçer ve tenar bölge kasları ile ilk 3,5 parmağın palmar yüzünün duysal innervasyonunu
sağlar (Şekil 1). Bu sinirin innerve ettiği önkol fleksör kasları el
bileği ve parmakların fleksiyonundan, el kasları ise
başparmağın abduksiyon ve oppozisyonundan
sorumludur.

Şekil
1. Median
sinir. Taralı alan deri duyu alanını göstermektedir. FCR: fleksor
carpi radialis, PT: pronator teres, PL: palmaris longus, FDS: fleksor digitorum sublimis, FPL: fleksor pollicis longus, FDP: fleksor digitorum profundus, PQ: pronator quadratus, APB: abductor pollicis brevis, OP: opponens pollicis, PC: palmar kutanöz dal, PD: palmar dijital
dal
Karpal Tünel Sendromu
Median sinir bilek segmentinde; taban ve kenarlarını bilek kemiklerinin,
tavanını ise transvers karpal
ligamentin oluşturduğu bir tünelden geçer. Karpal tünel adını alan bu yapıda median sinir, dokuz önkol
fleksör kasının tendonuyla birlikte bulunur (Şekil
2). Median sinirin bu kanalda sıkışması sonucu ortaya çıkan ve ‘karpal tünel sendromu’ adı verilen tablo en sık görülen
tuzak nöropatisidir. Travma başta olmak üzere belirli
bir nedene bağlı olarak ortaya çıkan sekonder tip dışında herhangi bir neden
olmaksızın görülen idyopatik tip pratikte
en sık görülendir. Kadınlarda, özellikle orta yaş grubunda görülme sıklığı fazladır.
Gebelik gibi fizyolojik bir sürecin yanı sıra diabet,
romatoid artrit ve benzeri
hastalıklarda da görülme sıklığı artar. Genelde, oluş mekanizması tam açıklık
kazanmamış olmakla birlikte, non-spesifik bir tenosinovit
zemininde, vücudun su tuttuğu durumlarda, el bileğinde mikro-travmaya yol açan
ardı sıra hareketlerin fazlalığı, yapısal olarak dar bilek yapısı ve servikal
artroz varlığının klinik tablonun ortaya çıkışını kolaylaştırdığı
bilinmektedir. Sıklıkla dominant elde belirgin olmak üzere iki taraflıdır. Semptomatoloji çeşitlilik gösterir ve duysal yakınmalar
önce başlar. Sabah ellerde uyuşma ile uyanma, genelde ortaya çıkan ilk
yakınmadır. Günün ilerleyen saatlerinde kaybolduğundan bu şikayetle genellikle
hasta doktora başvurmaz. Buna ellerde şişlik eşlik edebilir. Sabah gazete
okumak, direksiyon kullanmak gibi ellerin havada durduğu pozisyonlarda
uyuşmalar artar. Daha sonraki evrede kişiyi gece uykudan uyandıran uyuşmalar
belirir. Sonraki dönemde uyuşmaya ağrı eklenebilir. Hasta bu ağrılı durumdan
kurtulmak için elini sallar ya da ovuşturarak rahatlar. Buna "sallama-‘flick’ fenomeni" adı verilir
ve karpal tünel sendromunun klinik tanısı için patognomoniktir. Ağrı distal yerleşimlidir, zaman
içerisinde önkol, kol ve omuza yayılabilir. Genel klinik seyir kronik ve
ilerleyicidir. Bazıları bu düzeyde kalır. İlginç bir gözlem olarak hastalar
yazları rahatladıklarını kışları ise yakınmaların arttığı belirtirler. Bu dönem
yıllar sürebilir. Sonunda hastayı doktora getiren tablo; ağrı-uyuşmaların şiddetlenmesi
ve/veya buna eklenen tenar bölgede kas zaafı ve
incelmedir. Kişi bunu “iğne tutamıyorum” şeklinde beceriksizlik olarak
yansıtabilir. Özetle, motor belirti ve bulgu geç dönemde ortaya çıkar.
Nörolojik bulgular evreye göre, yalnızca sübjektif duysal yakınmadan, objektif
median duyu kusuru ve tenar atrofiye
kadar değişkenlik gösterebilir. İleri evre olgularda bu bulguların tümü
görülür. Bilek düzeyinde median sinirin perküsyonu yapıldığında el parmaklarına
yayılan elektriklenme hissi ‘Tinel’ belirtisiolarak bilinir ve hastaların yaklaşık yarısında
pozitiftir.

Şekil
2a. El bileğinin kesit
anatomisi (U: ulnar sinir, UA: ulnar arter, FR: fleksor
retinakulum, M: median sinir, H: hamatum,
C: capitatum, Tpzo: trapezoideum, Tpzi: trapezium).

Şekil
2b. Karpal tünel sendromunda tenar kas atrofisi.
![]()

![]()

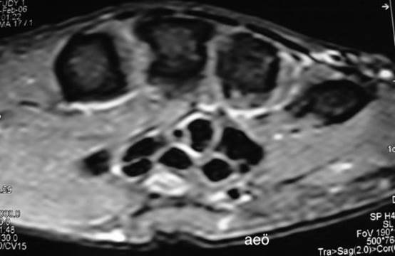
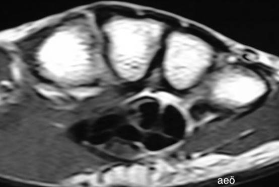
Şekil
2c. Akut karpal tünel sendromu saptanan hastanın el bileği MR
görüntüleri. Median sinir ödemli ve kalınlaşmış olarak izleniyor (ok).
Klinik tanı elektrofizyolojik inceleme ile doğrulanır. Median sinir
duysal ve motor iletileri, tuzaklanma bölgesi olan bilek segmentinde
yavaştır. Fokal demiyelinizasyon, duysal ve motor distal latans
değerlerinin uzamasına neden olur. Akson kaybı; duysal ve motor bileşik kas
aksiyon potansiyeli amplitüdlerinde düşme ile
anlaşılır. Elektrofizyolojik değerlendirme yalnızca
tanı için değil, klinik seyrin izlenmesi açısından da önemlidir. Ayırıcı tanıda
başlıca servikal radikülopatiler (özellikle C7-C8 radikülopatisi) ve toraks çıkışı
sendromu gibi üst ekstremitede ağrı ve paresteziye yol açabilecek diğer nedenler gözden
geçirilmelidir. Elektrofizyolojik incelemeler hem
tanıyı desteklemek, hem de ayırıcı tanı yapabilmek için değerlidir.
Median sinirin bilek
düzeyinde etkilendiği, bu en sık tuzak nöropatisinde
tedavi, erken evrede gece atelleri, anti-inflamatuar
ilaç kullanımı ve lokal steroid injeksiyonu şeklindedir.
Kişinin yaşam kalitesini bozan şiddetli ağrıların olması, elektrofizyolojik
değerlendirmede akson kaybının gelişmekte olduğunun gösterilmesi ile cerrahi
tedavi seçeneği gündeme gelebilir.
Anterior İnterosseus Nöropatisi
Median sinirin proksimal motor nöropatisidir.
Tek başına lezyonları nadirdir ve ender görülür. Doğrudan travma, Radius fraktürleri, pronator teres
kasında anormal gelişmiş fibröz bant, aşırı kas
çalışması-zorlu egzersiz bilinen nedenleridir. Önkol iç yüzünde ağrı ve
ardından kas zaafı gelişir. Yalnızca motor lifleri etkilediği için sübjektif ya
da objektif duyu kusuru görülmez. Kişi ilk iki parmağı ile bu parmaklara “O”
harfi şeklini vererek çimdikleme hareketini yapamaz (Şekil 3). Tutulan
kaslar; fleksor pollicis longus, ilk iki parmağa giden fleksor
digitorum profundus ve pronator quadratus’tur.


Şekil 3. Normal ve anterior interosseus sendromlu
hastada görünüm. Şekil
3a. Normal kişi baş ve
işaret parmaklarını “o” harfi şeklinde birleştirebilir. Şekil
3b. Anterior interosseus sendromu
olan hastadan Şekil 3a’daki hareketi yapması istendiğinde baş ve işaret
parmaklarını birleştirme şekli.
Ulnar
Sinir
Anatomi
Kol ve önkol medialinde seyreden ulnar siniri oluşturan lifler C8-T1
kökleri ile brakial peksus alt
trunkus-medial kord segmentlerinden gelir. Medial kordun ana dalıdır. Dirseğe
geldiğinde olekranon ile humerusun
medial epikondili arkasındaki retroepikondiler
oluğa girer. Daha sonra fleksor carpi
ulnaris kasının medial epikondil
ve olekranona tutunmasıyla oluşan aponevrotik
yayın altından geçer (humeroulnar kemer-Osborne ligamenti). Bu kemerin kalınlığı kişilere göre
değişkenlik gösterebilir. Ulnar sinir bu kemerin altından geçtikten sonra kübital tünelde seyrederek fleksor
carpi ulnaris kasını geçer.
Sinirin dirseğe kadar dallanması yoktur. Dirsekte, retroepikondiler
yarıktan sonra önkol medial yüzünde ilerler ve bilekte Guyon
kanalından geçerek eldeki dallarına ayrılır (Şekil 4). Motor
dalı, önkol fleksör kaslarının bir kısmı ile el parmaklarının abduktor ve adduktor kaslarını
innerve eder. Duysal innervasyonu avucun hipotenar bölgesi, el sırtında sınırlı bir bölge ile son
bir buçuk parmağın volar ve dorsal
yüzleridir.

Şekil
4a. Ulnar sinir. Taralı
bölge deri duyu alanını gösteriyor. FCU: fleksor carpi ulnaris, FDP: fleksor digitorum profundus, DUC: dorsal ulnar kutanöz dal, PC: palmar kutanöz dal, DM: derin motor dal, ST: terminal duysal dal.
Dirsekte
Ulnar Nöropati
Karpal
tünel sendromundan sonra üst ekstremitede en sık
görülen tuzak nöropatisidir. Ayrıca dirsek bölgesi ulnar
sinirin travmatik yaralanmalarının da sık görüldüğü
bir lokalizasyondur. Ulnar sinirin dirsekteki dinamik anatomisi dikkate
alındığında buradaki belli başlı tuzak bölgeleri, medial intermüsküler
septum, retroepikondiler oluk,
kubital tünel ve fleksör carpi
ulnaris kasından çıkış noktasıdır. Tuzaklanma,
sıklıkla retroepikondiler yarık ve kubital tünel bölgelerindedir.
Klinikte, tuzaklanmaya
bağlı erken bulgu son iki parmağa yayılan parestezilerdir.
Sonra dirsekten önkola yayılan ağrı eklenir. Erken dönemde zaaf gelişirse, bu
el parmaklarının adduksiyon yapamaması şeklindedir.
Önlem alınmadığı takdirde elde zaaf ve atrofi gelişir. Tamamlanmış bir ulnar atrofide (geç dönemde), son iki parmakta fleksör kontraktür vardır (ulnar pençe el). Tenar bölge korunmuştur. Ulnar oluğu sığ olan kişilerde,
dirsekleri sert yere dayama veya dirsek altta kalacak şekilde yatma gibi
alışkanlıklarda basıya bağlı ulnar nöropati görülebilir. Dirsek palpasyonunda ‘Tinel’ belirtisi saptanır. Son yıllarda
bilgisayar ve cep telefonunun uzun süreli kullanımının artmasıyla birlikte,
basıya bağlı ulnar sinir nöropatilerinde artış
gözlenmektedir. Dirseğin 90 derece fleksiyonunda ulnar
sinir gerilir. Hafif vakalarda dirseğin nötral
pozisyonda tutulması ve basının engellenmesi yeterli tedavi sağlar.
Tanı EMG’de, ulnar
sinirin dirsek segmentinde tuzaklanmasına ilişkin
verilerin ortaya konulmasıyla yapılır. Önkol ve kol segmentinde
motor iletimin normal olmasına karşılık dirsek segment
iletimi yavaşlamıştır. Daha hafif vakalarda dirsek segmentinde
yapılan ‘santimleme’ yöntemiyle lezyon yerinde ileti
yavaşlaması ve/veya ileti bloğu saptanır. Ulnar sinir duysal aksiyon
potansiyeli amplitüdü düşüktür. İğne EMG’sinde akson
kaybını gösteren fibrilasyon, pozitif diken
potansiyelleri ile motor ünite potansiyellerinin katılımında seyrelme saptanır
ve bu bulgular en distal kas olan I. dorsal interosseus’da daha belirgindir.
Klinik bulguların
ağırlığına, etyolojik faktöre, EMG bulgularının
ağırlığına ve hastanın konservatif tedaviye yanıt verip vermemesine göre tedavi
sürdürülür veya cerrahi girişim uygulanır.
‘Gecikmiş ulnar felç’
sıklıkla çocukluk çağında dirsekte kırık veya çıkık gibi deformasyona yol açan
bir travmadan yıllar sonra, ağrısız, ulnar alanda hafif parestezilerle
birlikte elde bu sinirin innerve ettiği kaslarda zaaf ve atrofi gelişmesiyle
karakterizedir. Ulnar nöropatiler, normal kişilere
oranla diabetiklerde, herediter
basınca duyarlılık nöropatisi olanlarda ve romatoid artritlilerde daha fazla
görülür.
Ulnar nöropatileri değerlendirirken akılda tutulması gereken iki
durumdan kısaca bahsetmek gerekir. Bunlardan birincisi, normal kişilerde %15-30
oranında görülebilen bir varyasyon olan median ve ulnar sinirler arasındaki ‘Martin
Gruber’ anastamozudur.
Median sinir içinde yer alan bazı aksonların medial epikondilin
3-10cm distalinde ulnar sinire katılması sonucunda
görülür. Bu anastamoz bilek düzeyinde median nöropatisi olan hastalar için avantajlı bir durum
oluşturabilir. Median sinire ait liflerin bir kısmı ulnar sinir içinde
seyrederek bilekte farklı bir yol izleyeceğinden klinik bulgular daha hafif
olacaktır.
Daha nadir görülmekle
birlikte ulnar sinir için akılda tutulması gereken diğer bir lezyon yeri de
bilek düzeyidir. Ulnar sinir el bileğinde ulnar tünel ya da Guyon
kanalından geçerek el kaslarını innerve eder. Bilek düzeyindeki kronik
travmalar (bazı mesleki özellikler, spor ile ilişkili etkilenmeler), vasküler malformasyonlar, lipom, kist gibi yapısal değişiklikler
neden olabilir. Guyon kanalındaki ulnar nöropatiler duysal ve motor liflerin tutulumuna göre, bazı
yazarlara göre 4, bazı yazarlara göre de 5 ayrı tipte değerlendirilmektedir. Proksimalde tüm duysal ve motor liflerin etkilendiği tip 1
olarak adlandırılır. Ulnar sinirin el bileğine girmeden 6-8cm önce verdiği kutanöz duysal dalının ileti çalışılması lezyon
lokalizasyonunun dirsek-bilek ayrımı yapılabilmesinde yardımcı olabilir.

Şekil
4b.
Bilek ve distalinde ulnar sinirin innervasyonları
ve olası tutulum lokalizasyonları
Ulnar sinir nöropatilerinde lokalizasyon ayırıcı tanı açısından da
önemlidir. Özellikle brakiyal pleksus
alt trunkus medial kord
tutulumu ile seyreden hastalıklardan ayırt edilmesi önemlidir. Öykü ve muayene
bulguları ile birlikte elektrofizyolojik incelemeler
ayırıcı tanıda lokalizasyon için yol göstericidir.
Radial
Sinir
Anatomi
Servikal 5,6,7 ve 8.
köklerden ve posterior korddan kaynaklanan bu sinir brakiyal pleksusun en büyük
dalıdır (Şekil 5). Önkol, bilek, parmaklar ve başparmağın ekstansiyonunu sağlar. Duysal dalı kol-önkolun posterior
bölgesi ve el sırtının duyusunu verir. Sinir kolda triseps
kasının uzun ve medial başının arasından geçerek, humerus orta bölümünde
bulunan spiral oluğa girer ve kolun medialine dönerek
önkol kaslarına dağılır.

Şekil
5. Radial sinir (Aks: n. aksillaris, TR: triseps dalları,
BR: brakioradialis, ECRB: Ekstensor
carpi radialis brevis, ECRL: ekstensor carpi radialis longus, POST IOS: posterior interosseus,
SUP RADIAL: yüzeyel radial dal, SUP: m. supinator).
Radial sinir
lezyonlarının büyük bölümü, humerus fraktürleri ya da
kallus gelişimi, bunların cerrahi girişimleri gibi
travmalarla veya radial sinirin bası altında kalması sonucu oluşur. Bunlar,
radial sinir kol segmentinde, spiral oluk düzeyi veya
daha rostralde tutulmuş olduğundan proksimal veya yüksek nöropatiler
olarak adlandırılırlar. Posterior interossöz veya superfisyel radial dalın izole tutulmasına bağlı distal nöropatileri enderdir.
Radial
Nöropatiler
Travmaya bağlı humerus
kırıkları dışında, radial sinirin basıya bağlı nöropatisi
geleneksel olarak ‘cumartesi gecesi felci’ adı ile bilinir. Bu
tabloda yoğun alkol alımı sonrası veya gece nöbetini gerektiren işlerde kolu
sert bir yere dayayarak uyuma gibi durumlarda ortaya çıkar. Kişi uyandığında
bilek ve parmaklarını ekstansiyona getiremediğini
fark eder, ‘düşük el’ oluşur (Şekil 6). Klinik olarak başlıca motor,
ikincil olarak da duysal belirtiler vardır. Spiral oluk düzeyinde bası
oluştuğunda düşük bilek ve parmaklar görülür. Duysal dağılım tüm önkol
ekstansör yüzeyde olabilir ya da minimaldir. Burada derinleşen uyku sırasında
radial sinirin spiral oluk düzeyinde kemik ile zemin arasında basıya uğraması
söz konusudur. Tanı EMG ile desteklenir. Oluşan sinir lezyonu sıklıkla segmental demiyelinizasyon (ileti bloğu, nöropraksi) düzeyinde kaldığından prognoz genel olarak iyidir
ve haftalar-aylar içinde tam düzelme ile sonuçlanır. Bir hastada benzer
kompresyon nöropatilerinin zaman içinde farklı farklı
sinirlerde, hafif ve kısa süreli basıları izleyerek ortaya çıkması ’herediter basıya duyarlılık nöropatisi’
olasılığını akla getirmelidir (Bakınız: Periferik
sinirlerin yaygın ve çok odaklı hastalıkları).
Radial sinirin derin motor uç dalı olan posterior interoseöz
sinirin bası altında kalması ya da yaralanması sonucunda ise yalnızca parmak
ekstansör kaslarında kuvvetsizliğe yol açan ‘posterior interosseöz
nöropatisi’ gelişir. Radyohumeral
eklem seviyesindeki bant, kronik tekrarlayıcı fleksiyon-ekstansiyon
hareketleri (sporcular, döşemeciler vb), çeşitli yaralanmalar bu tabloya neden
olabilir. Radial sinirin duysal dalı sıklıkla kurtulduğundan duysal yakınma
olmaz.

Şekil
6. Radial sinir felcine
bağlı düşük el.
Nadir
Görülen Proksimal Nöropatiler
Uzun
torasik sinir, servikal 5, 6 ve 7 köklerinden
oluşan saf motor bir sinirdir. Geniş, parmaksı bir kas olan serratus
anterior kasını innerve eder. Künt
travmalar (omuzda ağır çanta taşımak) ya da boyun bölgesinde yapılan küçük cerrahi
girişimlerde hasarlanır. Uzun torasik sinirin tek
başına tutulumu ‘Parsonage-Turner’ (nöraljik amiyotrofi)
sendromunun bulgusu olabilir. Kişi kolunu öne doğru
uzattığında kanat skapula belirginleşir. Ağrısız
olduğu için ancak kanat skapula gelişiminin fark
edilmesiyle anlaşılır (Şekil 7).

Şekil
7a. Uzun
torasik sinir felci. Hastanın kolları yanlara
sarkıtılmış durumda.

Şekil 7b. Uzun torasik sinir felci. Hasta her iki kolunu öne uzatmış. Solda skapulanın
kanatlaşması (scapula alata) fark ediliyor.
Aksiller
sinir servikal 5 ve 6. köklerden, brakiyal
pleksus posterior kordundan
gelişir. Deltoid ve teres minör kaslarını innerve
eder, omuz eklemi kapsülünün ve deltoid kasın
üzerinde yer alan cilt bölgesinin de duysal innervasyonunu
sağlar. Aksiller sinir hasarı sıklıkla omuz
çıkıklarına neden olan travmalarda ortaya çıkar. Başlıca zaaf deltoid kasındadır. Kişi omuz abduksiyonunu
yapamaz. Hafif vakalarda kolun arkaya abduksiyonunu
sağlayan deltoidin arka parçasını test etmek
önemlidir. Ayrıca aksiller sinir duysal alanına
sınırlı duyu kusuru da bulunur.
Ayırıcı tanı;
ön boynuzu tutan hastalıklar, servikal radikülopatiler,
brakiyal pleksopatiler ve
izole sinir tutulmaları arasında yapılmalıdır. Travma olduğu durumda dikkatli
bir anamnezle sebep-sonuç ilişkisi kurulmaya
çalışılmalıdır. İyi bir anamnez ve iyi bir nörolojik muayene doğru sonucu
sağlayacaktır. Lezyonun lokalizasyonu ve ağırlığının belirlenmesinde EMG
yardımcı olur.
Alt
Ekstremitenin Tuzak Nöropatileri
ve Diğer Fokal Nöropatileri
Peroneal
Nöropatiler
Siyatik sinir, lomber 4 ile sakral 2. arasındaki
köklerden çıkar. Vücutta bulunan en uzun sinirdir. Peroneal ve posterior tibial
olmak üzere iki dalı vardır ve bunlar başından itibaren iki ayrı demet halinde
seyredebilir ya da aynı paketin içinde farklı demetler olarak bulunabilirler.
Peroneal sinir diz ardına geldikten sonra, lateralden
fibula başı çevresini döner, yüzeyel ve derin olmak üzere iki uç dala ayrılır (Şekil
8). Yüzeyel dal başlıca duysaldır ve krurisin 2/3
ön-yan tarafının duyusu ile peroneus longus ve brevis kaslarının motor
innervasyonunu yapar. Derin dal ise başlıca motor
işlevlidir ve tibialis anterior
ile ayak bileği ile parmakların dorsi fleksiyonunu sağlayan diğer kasları innerve eder.

Şekil
8. Peroneal sinir (S:
Siyatik, PER C: common peroneal, PER S: superficial peroneal, PER D: derin peroneal, TA: tibialis anterior, PL: peroneus longus, EDL: ekstensor digitorum longus, EHL: ekstensor hallucis longus, PB: peroneus brevis, PT: peroneus tertius, M CUT ve L CUT:
medial ve lateral deri dalları, EDB: ekstensor digitorum brevis, DORS DIG CUT: dorsal digital deri dalı).
Alt ekstremitede en sık görülen peroneal sinir nöropatisidir ve sıklıkla basıya bağlı olarak gelişir.
Peroneal sinir nöropatisine yol açan bası, fibula
başı veya sinirin daha proksimal bir segmentinde olabilir. Fibula başı düzeyinde; sinirin fibula
başıyla sert zemin arasında sıkışması sonucu ‘düşük ayak’ (Şekil 9)
gelişir. Hemen her yaşta görülebilen bu akut tablonun erkeklerde görülme
sıklığı fazladır. Duysal alanda parestezi ile
muayenede objektif duyu kusuru vardır. Genelde ağrısızdır. Kolaylaştırıcı
nedenler arasında anestezi altında uzun süre kalmak, yatakta kalmayı gerektiren
kronik hastalıklar, aşırı kilo kaybı, uzun süre çömelerek çalışma (yer
döşemeciliği-çilek toplama gibi), alışkanlık olarak uzun süre bacak bacak üzerine atma veya bağdaş kurarak oturma, eşlik eden diabet ve diz travmaları sayılabilir. Lomber
5 radikülopatisi ve proksimal
peroneal nöropatiler ayırıcı tanıda önemlidir.
Şekil
9. Solda
düşük ayak. Resmin sağında yürüyüş sırasında kaydedilmiş videodan alınan
durağan görüntüler izlenmektedir.
Proksimal peroneal
nöropati (Siyatik
sinir peroneal divizyonunun etkilenmesi):
Bu lokalizasyonda tibial sinire oranla peroneal sinirin tutulması daha sıktır.
Açıklayıcı mekanizma olarak iki neden ileri sürülmektedir; peroneal divizyonu oluşturan fasiküllerin daha geniş olmasına karşın
destek bağ dokusunun az olması, diğeri ise anatomik olarak yüzeyel yerleşimli
olmasıdır. Peroneal siniri oluşturan lifler daha dışta ve üstte, tibial siniri
oluşturanlar ise altta ve içtedir. Tibial sinirin lifleri serbestken peroneal
siniri oluşturan lifler iskiadik çıkıntı ile fibula
başı arasında tutturulmuştur. Özetle; kalça travmaları ve gluteal
bölgeden yapılan intramusküler (im) injeksiyon
sonrası gelişen ‘düşük ayak’ tablosunun anatomik olarak açıklaması bu şekilde
olabilir. Bu tablolar ile karşılaşıldığında tibial sinir liflerinin sağlam
olmasına dayanarak düşük ayak nedeninin distal yerleşimli bir peroneal nöropati
olduğunu düşünmek yanlış olacaktır (Şekil 9). Elektrofizyolojik
değerlendirme lezyon lokalizasyonu ve ağırlık düzeyi konusunda yol gösterici
olacaktır. Klinik olarak ayırıcı tanıda yardımcı olabilecek bulgulardan biri fibuler sinirin dalı olan baldırın lateral kutanöz siniri alanındaki duyu kusurudur. Bu sinir uyluk
dış-yan, diz kapağı bölgelerinin duyusunu sağlar ve fibula başına gelmeden fibuler sinirden ayrılır. Fibula başındaki tutulumlara
bağlı gelişen düşük ayak tablolarında bu bölgede duyu kusuru olmaz ancak proksimal lezyonlarda tarif edilen bölgede duyu kusuru
vardır. Yine dizüstü yerleşimli siyatik sinir innervasyonlu
kaslarda (hamstring kasları) güçsüzlük saptanması
lezyon lokalizasyonunun proksimal olduğunu
düşündürmelidir.
Fibuler
sinir lezyonlarında lezyon lokalizasyonu kadar etyoloji
de önemlidir. Fibula başı lokalizasyonlu basılarda
prognoz genellikle iyidir. Buna karşılık, im injeksiyon dahil, femur kırıkları, ateşli silah yaralanmaları gibi proksimal yerleşimli lezyonlarda, aksonal dejenerasyon
geliştiğinde düzelme sekelli olacaktır. Yapılan her tıbbi girişim gibi im injeksiyon
kararı da dikkatle verilmeli ve uygulama titizlikle, eğitimli sağlık personeli
tarafından yapılmalıdır.
Tibial
Sinir Tuzak Nöropatileri
Tibial sinir siyatik
sinirin diğer büyük dalıdır, lomber 5, sakral 1 ve 2 köklerinden lif alır. Bacak arkasında, orta
hatta en distale erişir (Şekil 10). Ayak
tabanı, topuk, parmakların duyusunu sağlar ve ayağın plantar
fleksiyonunu yapan kasları innerve eder. Bilinen
başlıca tuzak nöropatisi "tarsal
tünel" sendromudur. İç malleol düzeyinde kalkaneal duysal dal ayrıldıktan sonra lateral ve medial plantar sinirler ve ayak tabanı kaslarına giden motor dal, fibröz sert bir yapı olan transvers
tarsal ligamentin altından
geçerler. Bu bölgedeki sıkışma tarsal tünel sendromunu (TTS) oluşturur. Klinik
olarak; ayak bileğinden tabana vuran ağrılar ve buna eklenen parestezilerle karakterizedir. Muayene bulgusu olarak;
‘Tinel’ belirtisi ile lateral ya da medial plantar
sinirlerden en az birinde objektif duyu kusuru vardır (Şekil 11). Ayakta
ağrıya yol açan rahatsızlıkların çeşitliliği nedeniyle ön tanı olarak akla
gelmesine karşın pozitif muayene bulguları ve elektrofizyolojik
karşılığı oldukça seyrektir. Bir başka deyişle TTS seyrek görülür.

Şekil 10. Siyatik ve tibial sinirler
(SUP ve inf GLUT: Superior
ve inferior gluteal, ST: semitendinosus, SM: semimembranosus,
BC (L): biceps uzun baş, BC (S): biceps
kısa baş, GC (M): gastrocnemius medial baş, GC (L): gastrocnemius lateral baş, T POST: tibialis
posterior, FDL: fleksor digitorum
longus, FHL: fleksor hallucis longus, MP: medial plantar, LP: lateral plantar).

Şekil
11. Tarsal
tünel sendromu. Hastanın duysal yakınmalarının sınırları tarifine göre
çizilmiş, sinir üzerine vurmakla elektriklenme hissettiği nokta (Tinel bulgusu)
okla işaretlenmiştir.
Interdigital nöroma (Morton nöroması): Plantar digital sinirler
ilerlerken komşu metatars kemiklerinin başları
arasında sıkışabilir, basıya uğrayabilirler. Bu tablo genellikle çok ağrılıdır
ve kadınlarda daha sık görülür. Ayakta durmak, ayakkabı giymek ağrıyı
arttırabilir. Genellikle ayakta II-III veya III-IV interdigital
sinirlerin nöropatileridir. Hasta iki metatars arasındaki lokal ağrıdan yakınır. Ayak, plantar yüzden palpe edildiğinde metatars başı üzerine rast gelen ağrılı hassas nokta
kolayca bulunur. Bu lezyonların bir kısmında patolojik değerlendirme nörinom, bazılarında ise fibrom
olarak sonuçlanmıştır. MR ve ultrason gibi görüntüleme yöntemleri ile son
yıllarda tanı daha kolay konulabilmektedir. Tedavide palyatif, önleyici
tedbirler ya da cerrahi uygulamalar bir seçenek olarak değerlendirilebilir.
Femoral Nöropati
Femoral
sinir, lomber 2, 3 ve 4. spinal
sinir-ön köklerinin psoas kası içinde birleşmesinden
meydana gelir. Eksternal iliak
arterle birlikte, inguinal ligamentin
altından geçerek baldır ön-medial yüzün duyusu ile duysal son dalı olan safeneus sinirini verir. Motor innervasyonu,
bacağın dizden ekstansiyonunu sağlayan kuadriseps kasınadır.
Femoral nöropatinin en sık sebebi travmalardır. Antikoagülan alan
hastalarda psoas kas içi hematomları,
pelvis içi kitle ve daha çok iyatrojenik
olarak, özellikle kalça artroplasti ameliyatı
sırasında da femoral sinir zedelenebilir. Klinik
olarak hasta dizinin çözülmesinden dolayı düştüğünü söyler. Duysal semptom
olduğu takdirde baldır ön-iç bölgededir ve safeneus
alanına yayılır. Patella refleksi azalır ya da
kaybolur. Zamanla iliopsoas, kuadriseps
femoris kaslarında atrofi gelişir. Tanı EMG’de femoral sinir tutulumunu göstermekle konur ve etyolojiye yönelik uygun incelemeler yapılır. Ağrılı
durumlarda ağrı tedavisi önemlidir. Psoas hematom veya apsesi saptandığı takdirde acil cerrahi
girişim endikasyonu vardır. Prognoz altta yatan etyolojiye ve sinirdeki akson hasarının derecesine
bağlıdır.
Lateral
Femoral Cutaneus Nöropatisi (meraljia parestetika)
Lomber
2 ve 3 ön köklerinden kaynaklanır, saf duysal bir sinirdir. Psoas
kası dış kenarında aşağı iner ve inguinal ligamentin altından geçerek aşağıya doğru ilerler ve iki
dala ayrılır, dize kadar olan uyluk ön bölümünün cildini innerve eden anterior bölüm ve lateral uyluk üst yarısının innervasyonunu sağlayan posterior bölüm. Sinir karın içinde
veya inguinal bölgede basıya uğrayabilir. Dar
giysiler (jean gibi, korse gibi), sıkı kemer
kullanımı, bacakla gövde arasını 90 derecede tutan oturma pozisyonu (yoga yapanların
bazı oturuş pozisyonları) gibi durumlarda sinir basıya uğrar. Sinir lezyonunun
nedeninin bulunamadığı durumlar da sıktır. Hastalar değişen oranda ağrı,
uyuşma, yanma gibi parestezilerden şikayet
ederler (Şekil 12). Tanı klinik ve EMG ile konur. Saptanabilir bir neden
varsa tedavi bu nedene yönelik olarak planlanır ya da semptomatik
yaklaşılır.

Şekil 12. Meraljia parestetika.
Üst kısımda duysal yakınmaların tanımlandığı alanın sınırları hastanın tarifine
göre çizilmiştir. Alt kısımda ise aynı hastada n. cutaneus
femoris lateralis antidromik duysal iletimi (spina iliaca anterior superiorun infero-medialinden
uyarım ve uyluk antero-lateralinden kayıtlama ile)
görülmektedir. Semptomatik tarafta duysal aksiyon
potansiyeli karşı tarafa oranla daha düşük amplitüdlü
ve geç latanslı bulunmuştur.
Şekil 1 ve 2 dışındaki şekiller
Dr. A. Emre ÖGE tarafından sağlanmıştır.
KAYNAKLAR
1. Adams RD, Victor M,
Ropper AH (editörler). Principles
of Neurology, 6th edition.
McGrawHill, New York, 1997.
2. Allieu Y, Mackinnon SE. Nerve Compression Syndromes of the Upper Limb. I. Edition. Martin Dunitz Ltd, The Livery House, London, 2002.
3.
Asbury AK, Thomas PK (editörler): Peripheral
Nerve Disorders Butterworth-Heinemann, Oxford, 1995.
4.
Bosch EP, Smith BE: Disorders
of peripheral nerves.
İçinde: Bradley WG, Daroff
RB, Fenichel GM and Marsden CD (editörler). Neurology
in Clinical Practice. 3rd
ed. Butterworth-Heinemann, Boston, 2000: 2045-2130.
5.
Bradshaw DY, Shefner JM.
Ulnar neuropathy at the elbow.
Neurol. Clin. 1999; 17:
447-462.
6.
Campbell WW: Ulnar neuropathy
at the elbow. Muscle Nerve 2000;23:450-452.
7.
Chad DA. Disorders of Nerve Roots and
Plexuses. İçinde: Bradley
WG, Daroff RB, Fenichel GM and Marsden CD (eds). Neurology in Clinical Practice. 3rd ed. Butterworth-Heinemann, Boston, 2000: 2019-2144.
8.
Carlson N, Logigian EL.
Radial neuropathy. Neurol. Clin. 1999; 17: 499-523.
9. Pestronk A (2000): Polyneuropathy differential
diagnosis. http://www.neuro.wustl.edu/neuromuscular/naltbrain.html
10. Rowland LP. Merritt’s Textbook of Neurology, 9th edition. Williams and Wilkins, Philadelphia, 1995
11. Stewart JD. Focal Peripheral Neuropathies. First edition. Elsevier Science Publishing Company Inc, New York, 2000
12. Wilbourne AJ. Thoracic outlet syndrome. Neurol. Clin. 1999; 17: 477-498.
13. Wilbourne AJ.,Gilliat
RW. Double-crush syndrome:
A critical analysis. Neurology 1997;41:21-30.
14. Dyck J., Thomas PK Peripheral Neuropathy. 4th Edition Elsevier&Saunders,
2005
15. Dayan RR, Peleg R. Herpes zoster–typical and atypical presentations.
Postgrad Med. 2017
129(6):567-571.
16. Gutmann L. AAEM minimonograph #2:
important anomalous innervations of the extremities. Muscle Nerve. 1993 16(4):339-47.
17. Gürsoy G, Aktin E,
Bahar S, Tolun R, Ozden B. Post-herpetic
aneurysm in the intrapetrosal
portion of the internal carotidartery. Neuroradiology.1980;19(5):279-82.
18. Brazis PW, Masdeu JC, Biller J. Localization in Clinical Neurology. Sixth Edition, Lippincott Williams&Wilkins, 2011
19.Penkert G,Böhm J, Schelle T. Focal Peripheral Neuropathies, Imaging, Neurological, and Neurosurgical Approaches, Springer, 2015