Travmatik disk fıtıklanmasına bağlı kauda ekuina
sendromu (EMG/MR)

37 yaşında kadın hasta.
Altı ay önce sırt ağrıları nedeni ile yapılan bir kiropraktik
manipulasyondan (omuzların bir yöne, pelvisin aksi yöne
rotasyonu şeklinde özetlenebilecek zorlu torsiyonel bir
kuvvetin ardarda bir kaç kez uygulanması) saatler sonra
sağ bacakta radiküler ağrılar ve zaaf, ardından sol bacakta
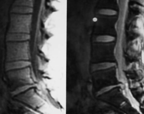
uyuşma, idrar ve gaita retansiyonu ortaya çıkıyor. Spinal MR
incelemesinde L5-S1 diskinin dural keseyi bastıran ileri
protrüzyonu (Şekil) görülerek 60. saatte diskusektomi
operasyonu yapılıyor. Radiküler ağrılar hızla azalarak
kayboluyor, ayaklardaki kuvvetsizlik, duyu kusuru (aşağıya
bakınız) sürüyor. İdrar ve gaita kontrolü geçen zaman içinde
kısmen düzelmekle birlikte halen bozuk.
Nörolojik muayenede iki yanlı çukur ayak deformitesi
izleniyor. Sağda belirgin olmak üzere iki yanlı ayak ve
parmak fleksiyonu zayıf. Aşil refleksi iki yanlı olarak
alınmıyor.  Her iki bacakta S1 segmentinin altında, perianal
bölgeye ve perineye uzanan ileri derecede yüzeyel duyu
kusuru mevcut.

Elektrofizyolojik incelemeler (6. ayda):
İki yanlı sural ve yüzeyel peroneal sinir duysal iletimleri
normal.
S1in rostralinde kalan segmentlerden innervasyon alan
bacak kaslarının iğne EMGsi ve bu kaslardan kayıtlanan
motor iletimler normal.
Sağda S1 innervasyonlu ayak kası (AH) tam denerve
durumda, kayıt elektrodu bu kasta iken n. tibialis uyarımı ile
motor yanıt alınamıyor. S1 innervasyonlu sağ guteal kasta
(G. maksimus) denervasyon-reinnervasyon sürecini
gösteren iğne EMGsi bulguları var. Sol S1
innervasyonlu kaslarda ağır derecede parsiyel
denervasyonu gösteren bulgular var.
Bulbokavernöz kas ile eksternal anal sfinkterin sağ ve sol
yarılarında ağır derecede denervasyon ve reinnervasyon
sürecini yansıtan iğne elektromiyografisi bulguları mevcut.
Klitoris uyarımı ile bulbokavernöz refleks yanıtı ve kalvarium
üzerinden pudental SEP yanıtları kayıtlanamıyor.